Учёные из Института биоинженерии Каталонии совместно с коллегами из Университета Западного Китая добились значительного прогресса в лечении болезни Альцгеймера.
Врачи обнаружили огромный комок жевательной резинки в желудке пятилетнего ребенка
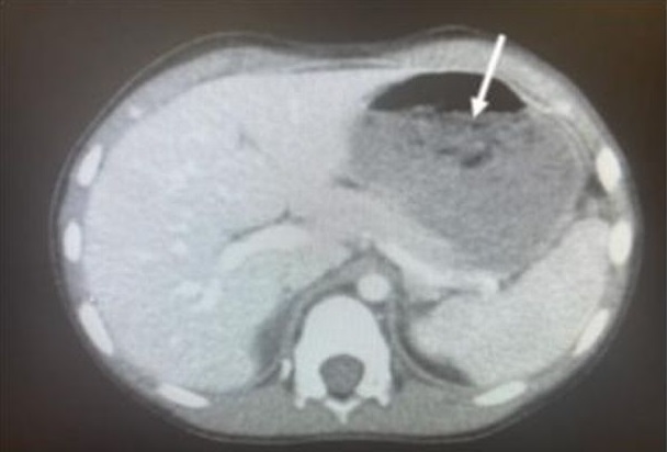
В США пятилетний ребенок попал в больницу штата Огайо с симптомами судорог и диареи. После проведения рентгеновского исследования стало ясно, что причиной проблем был гигантский комок жевательной резинки. Ребенок проглотил около 40 штук резинок, воспользовавшись моментом, когда его родители отвлеклись. Об этом сообщает Daily Star.
Фото из открытых источников
Согласно публикации в журнале JEM, проведенное исследование показало наличие большого количества жевательной резинки в желудке маленького пациента.
Фото из открытых источников
Чтобы извлечь комок, медики использовали металлическую трубку и щипцы. Процедура вызвала некоторые дискомфортные ощущения и временное заболевание горла, но по счастью, ребенок избежал серьезных последствий для здоровья.
В общем, случайное проглатывание небольших кусочков жевательной резинки не является опасным, так как организм не способен ее переварить, и она проходит через систему без вреда. Однако, как показывает этот инцидент, проглатывание большого количества жевательной резинки может стать опасным, так как может привести к закупорке.
Медики, осуществившие операцию по удалению комка, подчеркнули важность этого случая для всех родителей, имеющих маленьких детей. Поэтому родители должны быть бдительными и следить за тем, что их дети едят, особенно когда они находятся без прямого контроля.
Исследователи Института астрономии Гавайского университета раскрыли тайну явления,..
Используя измерения магнитного поля, полученные за последние 11 лет, ученые обнаружили..