Close
22 октября 2025, Среда
Информационно-познавательный портал. 16+

Момент заражения коронавирусом запечатлели на фото

13.04.2020 Разместил: Редакция / Источник: LENTA.RU 2207

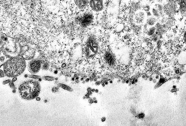
Бразильским ученым удалось зафиксировать на фотографиях момент заражения клетки коронавирусом. Снимки были опубликованы на сайте Фонда Освальдо Круз (Бразилия).

Фото из открытых источников

Ученые утверждают, что на снимках можно увидеть момент, когда вирус SARS-CoV-2 проникает в клетку и заражает ее. На изображениях заметны темные точки, которые проникают в цитоплазму клетки, внутри которой расположено ее ядро с генетическим материалом. Финальный снимок содержит скопление частиц возбудителя инфекции в инфицированной клетке.

Фото из открытых источников

Фото из открытых источников

Фото из открытых источников

Фотографии были выполнены с помощью электронного микроскопа, способного увеличивать объекты до двух миллионов раз. По словам специалистов, снимки были сделаны случайно во время изучения репликации вируса. Фонд уточнил, что изображенные на фото клетки принадлежат не человеку, а примату из вида зеленых мартышек, генетический материал которых часто используется в научных целях.

В конце марта российские медики получили видео, на котором показано воздействие коронавируса на организм человека. На кадрах можно увидеть развитие SARS-CoV-2 — инфекция постепенно захватывает легкие одного из пациентов.

Ранее Лаборатория Новосибирского Государственного научного центра вирусологии и биотехнологии «Вектор» сделала снимок коронавируса SARS-CoV-2, вызвавшего пандемию COVID-19. Организация обладает одной из самых полных коллекций вирусов и является единственным медицинским учреждением за Уралом, которое имеет право производить вакцины по сертификату GMP.

В чем особенность российского зенитного комплекса С-500
Кризис брака, или Что придет на смену моногамии?
Метки:
Вирусы
..
Разные новости
Тайну долголетия 117-летней Марии Браньяс Морера раскрыли ученые
25.09.2025 577

Ученые провели подробное исследование организма женщины, прожившей 117 лет и 168 дней, практически избежавшей серьезных заболеваний сердечно-сосудистой системы, онкологии и слабоумия.

В Непале выбрали новую «живую богиню»
03.10.2025 405
Силиконовые формы для выпечки выделяют вредные вещества, обнаружили ученые
08.10.2025 332
Исследование выявило связь фаз сна с изменением памяти
16.10.2025 216
Растение притворяется муравьем, чтобы привлечь опылителей
25.09.2025 209